患者王婆婆因胸痛伴上腹痛前往宜宾市南溪区大观镇中心卫生院就诊。当班医生苏红梅敏锐地意识到这并非普通胃痛,立即为其连接乐普心电图设备。
09:11,她通过"心电一张网"将心电图上传至总院心电诊断中心;09:13,中心即电话报告急性心梗危急值。

与此同时,宜宾市第五人民医院医共体总院胸痛中心微信群消息不断刷新:患者王XX,女,71岁,急性心梗,准备心梗一包药,预计20多分钟到院,通知导管室做好准备,启动双绕流程。所谓"双绕",是指患者绕过急诊科和 CCU,直达导管室的急救机制,这在我区已成为高危胸痛患者的标准救治路径。
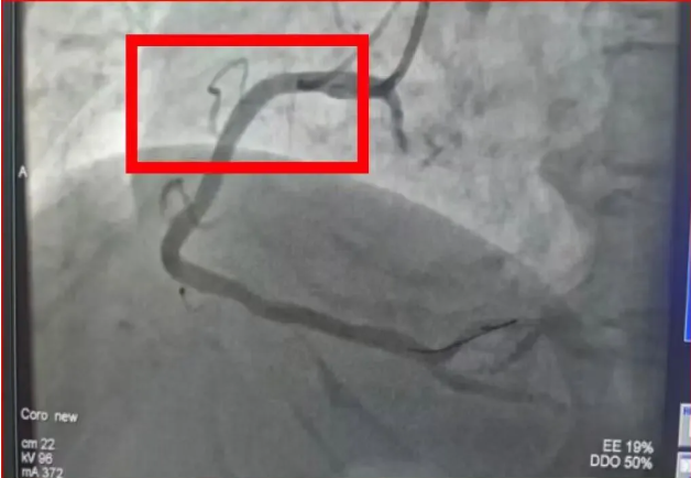
09:48,救护车呼啸着冲进宜宾市第五人民医院医共体总院大门,早已等候的医护人员立即给予口服心梗一包药;10:01复查心电图显示明显动态演变;10:09患者进入导管室;10:14,造影显示右冠状动脉近段完全闭塞,与心电图诊断完全一致。心内科团队随即熟练地植入一枚支架,开通血管。
从患者入院到支架成功植入仅用时26分钟,即关键的"门-球时间"(患者入院到血管开通时间),远低于国家标准的90分钟。"这种速度在半年前根本不敢想。"心内科郭江均主任介绍道。


——案例来源于宜宾市第五人民医院公众号
这一成功案例的背后,是乐普“心电一张网”助力宜宾市第五人民医院,为百姓生命安全保驾护航的实际体现。医院通过部署乐普便携式心电图机,心电图在采集完成后可即时上传至县医院心电诊断平台,由专业医师出具诊断报告。基层医生根据报告进行处置,危重患者则通过绿色通道快速转运至县医院,真正践行了“时间就是心肌,时间就是生命”的救治理念。

目前,该心电诊断网络已实现区域内各乡镇卫生院及部分村卫生室的全面覆盖,打通了各成员单位之间的信息壁垒,实现了互联互通与数据共享。这不仅有效缓解了基层单位心电诊断人才短缺和技术薄弱的困境,提升了村镇一级的医疗服务能力,更推动了胸痛中心分级诊疗体系的完善,为急性胸痛患者争取了宝贵的救治时间,让群众在“家门口”就能享受到县级医院的综合诊断。

乐普心电一张网解决方案,以人工智能、互联网和云平台技术为依托,通过静/动态心电图机等智能监测设备,助力牵头医院构建区域AI-ECG心脏数据中心&远程心电诊断共享中心,实现静态心电、动态心电、血压监测与区域实时监护的多网合一。
系统支持“AI预警+人工复核”的双重机制,能够实现对就诊患者的远程心电数据监测、异常心电实时预警、长程数据分析、大数据分析、人工预警等差异化定制的专业服务,促进信息互联互通,协助基层医生快速完成检查与诊断,及时获取异常数据,从而做出精准的医疗决策。

依托先进的AI技术与智能心电设备,该解决方案不仅帮助中心医院实现了对全部乡镇医院的远程心电覆盖,提升了县域医疗的整体诊疗效率与服务能力,同时助力构建心血管疾病医疗数据科研平台,协助临床医生进行高血压、房颤、心力衰竭等专科疾病的规范化数据管理与质控,进一步推动了医院的信息化建设与科研发展,助力医学进步。